Endoscopic Ultrasound (EUS)
Committed to
Definitive
Diagnosis
Endoscopic Ultrasound
Endoscopic ultrasound (EUS) combines ultrasound and conventional endoscopy technologies to see beyond the walls of the gastrointestinal tract. EUS allows endoscopists to visualize all five layers of the GI tract, as well as surrounding tissue and organs.
Olympus offers a full product portfolio of EUS processors, echoendoscopes, miniature probes and needles to meet physician needs and preferences. These products can support diagnostic, therapeutic and interventional applications such as EUS-guided tissue acquisition, cyst drainage and biopsies of lesions/lymph nodes.
The Olympus® portfolio offers a variety of echoendoscopes and miniature probes, creating a total endosonography solution for a full range of minimally invasive applications.
The diagnostic radial array echoendoscope provides a 360°, cross-sectional view of the GI tract and is primarily used for screening. The curvilinear echoendoscopes are useful for therapeutic applications such as tissue sample collection, cyst drainage, biopsies of lesions/lymph nodes and injection for pain management.
In addition, the endoscopic ultrasound miniature probes generate 360° images in the near field for visualization of submucosal areas.
Visualization is key to accurately identifying tumors and tissue properties and boundaries. New and enhanced features available on Olympus® ultrasound processors are designed to improve visualization and assist in diagnostic, therapeutic, and interventional procedures, that may lead to improved quality of patient care.
Olympus offers a full line-up of ultrasound processors designed to meet and exceed the needs of gastroenterologists performing a wide range of EUS procedures.
Olympus offers a line-up of single-use FNB and FNA needles to help achieve procedural goals for endoscopic ultrasound in a variety of clinical settings.
The EZ Shot™ 3 Plus FNB needle offers access to lesions in difficult locations, enhanced echogenicity, and reduced puncture force in 19 G, 22 G, and 25 G configurations.1
The EZ Shot 3 FNA needle features the same ergonomic handle as the EZ Shot 3 Plus needle and is designed for smooth puncturability of even small target lesions, available in 19 G, 22 G and 25 G configurations to suit clinical preferences.5
EUS Procedure Risks:
Potential complications that may be associated with endoscopic ultrasound include, but are not limited to, the following: sore throat, infection, bleeding, perforation, and/or tumor seeding (when EUS-FNA or FNB is performed).
Products
At Olympus, we are committed to innovation. We deliver a comprehensive EUS solution, with a robust portfolio of EUS processors, echoendoscopes and devices.
Endoscopic Ultrasound is the difference between maybe and definitely.

ULTRASOUND PROCESSORS
ALOKA ARIETTA™ 850 ultrasound processor
Premium ultrasound processor provides endoscopists with a depth of information to support decisive decision making, partnered with service and support. “Image quality” and “advanced technology” are two key areas where a determined effort has been made to refine fundamental performance and examination precision.
Optional software packages for the ARIETTA™ 850 ultrasound processor. Included with the ARIETTA™ 850 AT ultrasound processor.
.png)
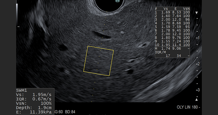
Shear Wave Measurement (SWM)
SWM is used to assess tissue stiffness, such as liver fibrosis. A “push-pulse” generates shear waves, which propagate through the tissue, perpendicular to the ultrasound beam. SWM then provides an assessment of tissue stiffness by calculating the propagation velocity of the shear waves (Vs). Hitachi’s SWM technology provides an additional reliability indicator (VsN), as an objective evaluation of the Vs measurement. The reliability indicator gives physicians confidence that they are basing clinical decisions on stable and accurate measurement result.10
.png)
Real-time Tissue Elastography (RTE)
RTE is an additional tool for use in tissue diagnosis. This imaging modality assesses tissue strain in real time and displays the measured differences in tissue stiffness as a color map. The color image shows tissue elasticity, or stiffness in the area of interest, which may help indicate disease processes. This may help the physician identify the appropriate areas for biopsy.11
.png)
Contrast Harmonic Imaging (CHI)
CHI is the application of an ultrasound contrast agent to traditional ultrasonography to characterize focal liver lesions. Contrast agents are comprised of gas-filled microbubbles that are administered intravenously. The difference in echogenicity between the gas in the microbubbles and the soft tissue surrounding the body is immense, which improves the visualization and assessment of tissue vascularity.2
EU-ME2
Universal ultrasound processor provides image quality comparable to a large radiology processor, in a compact model.3 Backward compatibility and electronic and mechanical scanning contribute to the processor’s universality. It was designed to meet the needs of physicians performing a wide range of EUS and EBUS procedures.

CURVED LINEAR ARRAY ECHOENDOSCOPES
GF-UCT180
Curved linear array echoendoscope used for therapeutic applications such as tissue sample collection, cyst drainage, biopsies of lesions/lymph nodes and injection for pain management. The GF-UCT180’s ultrasound transducer has a broader bandwidth and higher sensitivity, offering superior ultrasound imaging with high resolution and penetration and less noise when operating in B-mode.4
GF-UE160-AL5
Diagnostic radial array echoendoscope used to assess anatomy of the GI tract and surrounding structures. It provides a 360° cross-sectional view of the GI tract and is primarily used for screening.

Olympus offers a full range of EUS and EBUS ultrasound miniature probes that can be used for various procedures. These miniature probes can be used for passing strictures, reaching peripheral lung lesions, conducting intraductal ultrasound and more.
Miniature Probes
Generate 360° high-resolution images in the near field for visualization of submucosal areas9.
Probe-driving Unit
Designed to support a spectrum of advanced EUS and EBUS procedures. The unit powers a wide variety of Olympus® ultrasound miniature probes with frequency ranges of 7.5 to 20 MHz.

EZ Shot™ 3 Plus
FNB needle provides access to difficult to reach lesions without compromising scope position. The combination of the multi-layer coil sheath, nitinol needle*, and Menghini tip allow for precise and smooth penetration into the target lesion.1
EZ Shot 3
FNA needle offers enhanced visibility under ultrasound, with an anti-slip handle design that enables control when sampling.5
*nitinol material includes 19G and 22G only
EUS Processor Risks:
High output and prolonged exposure to ultrasonic waves can adversely affect the internal tissues of the patient. Scan only for the minimum length of time necessary for the diagnosis, and at the lowest possible output. Improper care, installation, or use, can cause electric shocks, burns or other injuries. The ultrasound endoscope connected to this ultrasound center must never be applied directly to the heart as it could cause ventricular fibrillation or otherwise seriously affect the cardiac function of the patient. Never allow an EndoTherapy accessory or another ultrasound endoscope, applied to or near the heart, to come in contact with the ultrasound endoscope connected to this ultrasound center.
EUS Scope Risks:
Complications from use of the GF-UCT-180 may include, but are not limited to patient injury, bleeding, and/or perforation. Improper cleaning of an endoscope may result in patient infection. Balloons used with this instrument contain natural rubber latex that may cause allergic reactions. Do not use the balloon on a latex-sensitive patient.
EUS Needle Risks:
Complications from extra-luminal EUS guided FNA and FNB may include, but are not limited to infection, bleeding, perforation, and/or tumor seeding. Extra-luminal fine needle aspiration of cystic lesions has a higher risk of complication from infection and hemorrhage.
Endo-Hepatology
Traditionally, hepatologists refer liver patients to interventional radiology (IR) for liver imaging, biopsy, and management of portal hypertension.
Now, due to recent advancements in endoscopic ultrasound (EUS), liver imaging, shear wave measurement, contrast harmonic imaging, liver biopsy and portal pressure gradient measurement can be accomplished under EUS-guidance.
Thus, the integrated field has emerged as a result of the following7:
- Increased number of liver-focused endoscopic procedures
- Advances in endoscopic evaluation of the liver
- Advances in hepatology requiring liver assessment and histology

It would be most ideal if the assessment and treatment of liver disease and portal hypertension could be performed and assimilated by the primary liver/gastrointestinal (GI) specialist. We see this integration among specialists in esophageal and pancreaticobiliary diseases. It should be no different in hepatology.”
Dr. Kenneth J. Chang is a consultant to the Olympus Corporation, its subsidiaries and/or its affiliates.
Why is Endo-Hepatology important?
Diseases of the liver are becoming increasingly common in the US, with about 100 million individuals in the United States estimated to have Nonalcoholic Fatty Liver Disease (NAFLD).7 The importance of effective screening, diagnosis and treatment of these diseases will become more important in parallel.

NAFLD is one of the most common causes of liver disease in the U.S., affecting approximately 30% of the population.7

NASH is a severe progression of unmanaged NAFLD. Approximately 16% of people with NAFLD or 5% of the U.S. population is affected by NASH.7

Cirrhosis is irreversible scarring/damage to the liver. Approximately 5% to 12% of those affect by NASH will progress to cirrhosis.8
Participants of the course are instructed on the safe and effective use of Olympus® Endoscopic Ultrasound (EUS) equipment through didactics and live-case observations. This program includes advanced EUS applications related to liver disease.
Clinical Support

Clinical Application Specialists (CAS) are regionally located, experienced sonographers, dedicated to supporting you and your EUS practice. The CAS team offers on-site and virtual support for evaluations, in-services, installs, training, and procedures. Your CAS will show you how to operate your EUS equipment, offering helpful suggestions for image optimization. Our CAS Team is here to help you achieve success with Olympus® EUS products in an effort to allow you to help more patients.
Education
Designed to support you in your pursuit of excellence, Olympus Professional Education is a comprehensive platform of education and training experiences led by healthcare experts from around the world. Learning and training opportunities include hands-on courses, online learning, lectures and workshops, peer-to-peer training, accredited continuing education, and custom on-demand learning as well as a vast library of educational resources.
The Understanding Endoscopic Ultrasound: Technology and Clinical Applications program is designed to train nurses and technicians on the basics of endoscopic ultrasound. The course will cover the physics of ultrasound, GI ultrasound anatomy and ultrasound characteristics and terminology.
The Olympus® Global Professional Education Library is home to a selection of valuable educational materials including training videos, user guides, quick reference guides, IFUs, channel diagrams and more. The goal of Olympus Professional education is to enhance knowledge, inspire vision and offer solutions to healthcare professionals in the fields of gastroenterology, general surgery, pulmonology, bronchoscopy, urology, gynecology, otolaryngology, bariatrics, orthopedics and anesthesiology.
In collaboration with the American Society for Gastrointestinal Endoscopy (ASGE), our Diagnostic EUS Training course is focused on helping practicing endoscopists based in community hospitals achieve competency in Diagnostic EUS. The program’s online and hands-on curriculum covers the full spectrum of diagnostic EUS and FNA in four to six months in preparation for a proctorship with an EUS expert.



Resources
White Paper: Endoscopic Ultrasound Fine Needle Biopsy (EUS-FNB) Helps Diagnose Neuroendocrine Tumor of the Pancreas
LEARN MORE
White Paper: Endoscopic Ultrasound Fine Needle Biopsy (EUS-FNB) Helps Diagnose Gastrointestinal Stromal Tumor (GIST) of Stomach
LEARN MORE
Publication: Use of the EZ Shot 3 Plus in Endoscopic Ultrasound-Guided Biopsy Procedures
LEARN MORE
White Paper: How to Optimize EUS Images
LEARN MORE
White Paper: Current Measurement Parameters for EUS
LEARN MORE
Watch videos with instructions on how to operate and clean your endoscopic ultrasound echoendoscopes, processors and devices.
LEARN MORE
Visit Olympus’ pancreatic cancer website to help educate your patients and raise awareness on the importance of early detection. If your facility would like to be included in our Find a Facility resource tool, please contact EUS@olympus.com.
LEARN MORE
Information on Olympus® OEM service of equipment and access to the Service Portal.
LEARN MORE
OlympusConnect.com houses the full library of training support, including: Reprocessing Videos, Visual Reprocessing Guides, Instruction Manuals, Reprocessing Manuals, In-service Guides and more.
LEARN MORE
Sign-up today to receive the latest news and information from Olympus about endoscopic ultrasound (EUS).
LEARN MORE
For additional questions on service, technical assistance, professional education, or sales contact us directly.
LEARN MORE
1. Data on file with Olympus as of June 8, 2018.
2. https://www.ncbi.nlm.nih.gov/pmc/articles/PMC7554970/ Accessed August 2022.
3. https://onlinelibrary.wiley.com/doi/abs/10.1111/den.12148 Accessed August 2022.
4. Data on file with Olympus as of July 27, 2015.
5. Data on file with Olympus as of October 31, 2018.
6. https://www.ncbi.nlm.nih.gov/pmc/articles/PMC6106152/ Accessed March 2023.
7. https://pubmed.ncbi.nlm.nih.gov/32061595/ Accessed August 2022.
8. https://www.mayoclinic.org/diseases-conditions/nonalcoholic-fatty-liver-disease/symptoms-causes/syc-20354567#:~:text=Between%205%25%20and%2012%25%20of,NASH%20will%20progress%20to%20cirrhosis Accessed August 2022.
9. Data on file with Olympus as of November 16, 1998.
10. https://hce.fujifilm.com/fileadmin/hitachi-medical-eu/product-and-servies/ultrasound/technologies/Shear_Wave_Measurement__SWM_/MEDIX__Technical_Report__-_Development_of_Shear_Wave_Measurement_with_a_Reliability_Indicator.pdf Accessed March 2023.
11. https://www.ncbi.nlm.nih.gov/pmc/articles/PMC5838723/ Accessed March 2023.